9993888758, 9993078758 Mon-Sat: 12:00 PM - 8:00 PM Sun: 11:00 AM - 2:00 PM
PREVENTATIVE CARE

Teeth Cleaning or Whitening

Professional Dental Hygiene

Maintain optimal oral health with our advanced cleaning treatments. Your journey to a healthier smile starts here.

Teeth Cleaning
Minutes Duration
30-45
Visits for Best Results
2-4
Plaque Removal
100%

The Foundation of Oral Health

Professional Dental Cleaning for a Healthier Smile

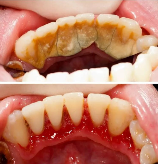
Regular teeth cleaning is the cornerstone of optimal oral health, preventing cavities, gum disease, and maintaining overall wellness. Professional cleanings help remove plaque and tartar buildup that regular brushing cannot address.

Our approach combines advanced technology with gentle techniques to ensure comfort while delivering results that exceed your expectations. Whether you need routine maintenance or targeted treatment, we have the expertise to achieve your goals.

Professional dental cleaning, also known as prophylaxis, is a preventive treatment that removes plaque, tartar, and stains from teeth. Even with diligent brushing and flossing, some areas are difficult to clean thoroughly, making professional care essential for maintaining oral health.

Dental Hygiene

Why Professional Cleaning is Essential

Prevents Tooth Decay

Removes cavity-causing bacteria and plaque buildup before they damage your teeth.

Protects Gums

Prevents gingivitis and periodontal disease by eliminating bacteria below the gumline.

Enhances Appearance

Removes surface stains for a brighter, more confident smile.

Types of Professional Teeth Cleaning

We offer various cleaning options tailored to your specific needs

Prophylaxis Cleaning

A routine cleaning for patients with healthy gums. This standard treatment removes plaque and tartar from tooth surfaces and just below the gumline. Recommended every 6 months for maintaining optimal oral health.

  • Surface stain removal
  • Plaque and tartar removal
  • Teeth polishing
  • Fluoride treatment (optional)

Deep Cleaning (Scaling & Root Planing)

For patients with signs of gum disease such as bleeding gums, recession, or bone loss. This intensive cleaning reaches deep below the gumline to remove bacteria and infected tissue.

  • Deep scaling below gums
  • Root planing (smoothing)
  • Antibiotic treatment
  • Multiple visits may be required

Periodontal Maintenance

Designed for patients who have undergone periodontal treatment. Regular maintenance visits help prevent recurrence of gum disease and maintain long-term oral health.

  • Post-treatment care
  • Monitoring gum health
  • Plaque control
  • Personalized care plan

Our Professional Cleaning Process

A step-by-step approach to ensure your complete comfort and satisfaction

Comprehensive Examination

Thorough assessment of your oral health, including digital imaging when needed. We check for cavities, gum recession, and any signs of oral disease.

Plaque Detection

Advanced plaque-disclosing agents and ultrasonic tools to identify problem areas. We use disclosing tablets to show areas you may be missing during home care.

Ultrasonic Scaling

Gentle removal of calculus using high-frequency vibrations and water spray. This modern technique is more comfortable than traditional manual scaling.

Polishing & Flossing

Removal of surface stains and polishing for smooth, shiny results. Professional flossing removes any remaining debris between teeth.

Fluoride Treatment

Optional fluoride application to strengthen tooth enamel and provide additional protection against cavities. Available in various flavors.

Oral Hygiene Education

Personalized instruction on proper brushing, flossing, and care techniques. We'll recommend the best products for your specific needs.

Benefits of Professional Teeth Cleaning

Why regular dental cleanings are essential for your overall health

Improved Oral Health

Prevention of cavities, gum disease, and other oral health issues. Professional cleaning reaches areas that brushing and flossing simply cannot access, removing harmful bacteria before it causes damage.

Fresh Breath

Elimination of bad breath caused by bacteria and food particles. Regular cleaning eliminates the source of persistent bad breath, giving you renewed confidence in social situations.

Brighter, Whiter Smile

Removal of surface stains from coffee, tea, tobacco, and other sources. Professional polishing leaves your teeth looking cleaner and more radiant.

Long-Lasting Protection

Professional cleaning and fluoride treatments strengthen enamel against decay, providing months of protection for your teeth.

Cost-Effective Prevention

Regular cleanings are much less expensive than treating advanced dental problems. Investing in preventive care saves you from costly procedures down the road.

Early Detection

During cleaning, dentists can spot early signs of oral health problems, including oral cancer, allowing for timely intervention and better outcomes.

Post-Cleaning Care Tips

How to maintain your clean smile after professional treatment

What to Eat & Avoid

Do's:
  • Drink plenty of water to flush out any remaining debris
  • Eat soft foods for the first few hours after cleaning
  • Consume dairy products for calcium to strengthen enamel
  • Enjoy crunchy fruits and vegetables that naturally clean teeth
Don'ts:
  • Avoid extremely hot or cold foods if you have sensitivity
  • Stay away from staining foods like coffee, tea, and berries for 24 hours
  • Avoid tobacco products which cause discoloration
  • Skip acidic drinks like sodas and citrus juices temporarily

Home Care Routine

Brush Twice Daily

Use a soft-bristled toothbrush and fluoride toothpaste. Brush for at least 2 minutes, covering all surfaces of your teeth.

Floss Daily

Clean between teeth at least once a day to remove plaque and food particles that brushing misses.

Use Mouthwash

Rinse with an antibacterial mouthwash to reduce bacteria and freshen breath. Choose alcohol-free options if you have sensitive gums.

Regular Check-ups

Schedule dental check-ups every 6 months to maintain optimal oral health and catch any issues early.

The Professional Cleaning Process

Initial Consultation

Discussion of your oral health goals and examination of current condition.

Plaque Removal

Gentle removal of plaque and tartar using specialized tools and techniques.

Scaling & Polishing

Removal of surface stains and polishing for smooth, clean results.

Oral Hygiene Instructions

Personalized education and recommendations for home care.

Scheduling & Follow-up

Recommended follow-up schedule based on your individual needs and treatment goals.

Teeth Cleaning Process

Frequently Asked Questions

Everything you need to know about professional teeth cleaning

For optimal oral health, professional cleaning is recommended every 6 months. However, if you have braces, smoke, or have a history of gum disease, your dentist may recommend more frequent visits (every 3-4 months).
Most patients experience minimal discomfort during professional cleaning. Our gentle techniques and modern ultrasonic tools help ensure a comfortable experience. If you have sensitive teeth or gums, let us know and we can use additional numbing or desensitizing agents if needed.
Professional cleaning removes plaque, tartar, and surface stains through mechanical cleaning methods. Teeth whitening, on the other hand, uses bleaching agents to lighten the natural color of your teeth. Cleaning is preventive care, while whitening is cosmetic treatment.
No, professional cleaning performed by trained dental professionals does not damage tooth enamel. We use specialized tools and techniques that are safe and effective. The ultrasonic instruments we use are designed to remove calculus without harming your teeth.
After cleaning, avoid eating or drinking staining foods and beverages (coffee, tea, berries, wine) for at least 2-4 hours. Maintain good oral hygiene with regular brushing and flossing. Your teeth may feel slightly sensitive for a day or two, which is completely normal.
A typical professional cleaning appointment takes 30-45 minutes for routine prophylaxis. More extensive deep cleaning (scaling and root planing) may require multiple visits of 45-60 minutes each. We always take the time needed to ensure thorough, quality cleaning.
Most dental insurance plans cover professional teeth cleaning (prophylaxis) at 100% as part of preventive care, typically twice per year. Deep cleaning (scaling and root planing) may be partially covered depending on your insurance plan and the presence of gum disease.
Bleeding gums during cleaning can indicate gingivitis (gum inflammation) or periodontitis. This is often caused by plaque buildup along the gumline. Don't be alarmed - with regular cleanings and improved oral hygiene, gum health typically improves and bleeding decreases over time.
Yes, professional teeth cleaning is safe and highly recommended during pregnancy. In fact, hormonal changes during pregnancy can increase the risk of gum problems. The second trimester is typically the best time for dental treatment, but we can also accommodate emergency care during any trimester.
Some patients may experience temporary tooth sensitivity after cleaning, especially to hot and cold temperatures. This usually subsides within a few days. Using a toothpaste designed for sensitive teeth can help. If sensitivity persists, please contact us for recommendations.

Ready for a Healthiest Smile?

Experience the confidence that comes with clean, healthy teeth. Schedule your professional cleaning consultation today.